
La légende Allemande Maria Riesch, au palmarès long comme le bras, ne tarit pas d'éloges sur sa jeune compatriote Emma Aicher.
ski-nordique.net
La légende Allemande Maria Riesch, au palmarès long comme le bras, ne tarit pas d'éloges sur sa jeune compatriote Emma Aicher.
ski-nordique.net
Après Federica Brignone, c'est Marta Bassino, autre star de la coupe du monde, qui pourrait mettre un trait sur les Jeux Olympiques de Milan Cortina.
ski-nordique.net
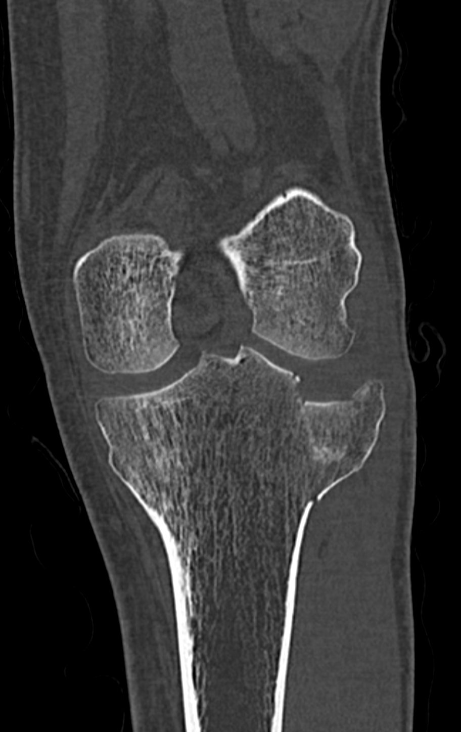
Lors d'un entraînement sur le glacier de Val Senales, l'Italienne Marta Bassino a lourdement chuté ce mercredi. Elle a été opérée dans la foulée d'une fracture du plateau tibial et sera indisponible pour une durée de 4 à 6 mois. Sa saison et ses rêves olympiques s'envolent.
ledauphine.com
Plus précisément le plateau tibial, c'est vraiment au sommet du tibia. Je me demande même si "techniquement" ça ne fait pas partie de l'articulation du genou.
clinique-drouot.com
inscrit le 6/11/11
16K messages